PERIODONCIA
Las enfermedades periodontales son infecciones bacterianas de las encías que destruyen las fibras de adhesión y el hueso de soporte que mantiene los dientes en la boca, provocadas por la acumulación de placa bacteriana y las toxinas producidas por esta causa.
La Gingivitis -y sus cuadros más avanzados como la Periodontitis- son formas de la enfermedad periodontal, que producen encías rojas, inflamadas y que sangran fácilmente, pudiendo llegar a destruir el hueso y el tejido que sostiene a los dientes.
PAPILAS GINGIVALES
La ausencia de papilas gingivales es una patología que se manifiesta por la aparición de antiestéticos triángulos ínter dentarios.
Corregir el defecto, evitando soluciones arcaicas que determinaban una imagen de diente ancho y alargado es posible hoy por medio de cirugía estética gingival regenerativa, mediante la implantación de un tejido estable y permanente en el tiempo.
Aplicando el procedimiento de cirugía guiada por imagen, podemos mediante pantalla hacer la corrección del defecto y pueden observarse los resultados previamente a la realización del procedimiento, evitando así la incertidumbre de la estética a lograr.
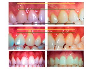
RETRACCIÒN DE LA ENCÌA
En casos de retracción de encía que dejan expuesta la superficie de la raíz dentaria recurrimos a técnicas de microcirugía guiada por imágenes, y a la aplicación de materiales de última generación como el plasma rico en plaquetas y proteínas con alto potencial regenerativo, logrando la cobertura de la superficie con tejido estable y permanente evitando el incremento de la sensibilidad ante la ingesta de alimentos.
TRATAMIENTOS DE LA ENFERMEDAD PERIODONTAL
Para el tratamiento de la enfermedad periodontal (piorrea), privilegiando la salud y la estética, recurrimos a tratamientos no quirúrgicos con instrumentos sónicos, ultrasónicos y rotatorios que sumados a antibióticos y antisépticos de acción local, superan ampliamente los procedimientos manuales y devolviendo así la función y estética deseada.
Nuestro Consultorio es considerado centro de referencia y consulta en el tratamiento de la retracción de encías con mas de 1200 intervenciones realizadas de acuerdo a los más altos estándares internacionales y 25 años de experiencia, siendo pionero en Uruguay en Cirugía Plàstica Estética y Regenarativa Periodontal y en el Tratamiento de la Papila con Acido Hialurónico.
*Haga click sobre las imágenes para ampliarlas.